こちらの患者様は「前歯の見た目が気になる」とのことで来院されました。
通常の場合、クラウン(被せ物)で直すのが一般的です。
被せ物も種類がいくつか選択でき、大きく分けると保険内治療、保険外治療に分かれます。
保険内治療→裏が金属で表にプラスチックを貼っている歯
保険外治療→セラミック(陶材)の歯
を選択することになります。
今回は保険内の歯が変色し見た目が気になった経緯から、セラミック治療を行なった方の治療の経過について詳しくご紹介します。
尚今回は、左の前歯2本はセラミッククラウン、右の前歯1本はラミネートベニア(セラミック治療の1種)にて治療しています。

症例写真
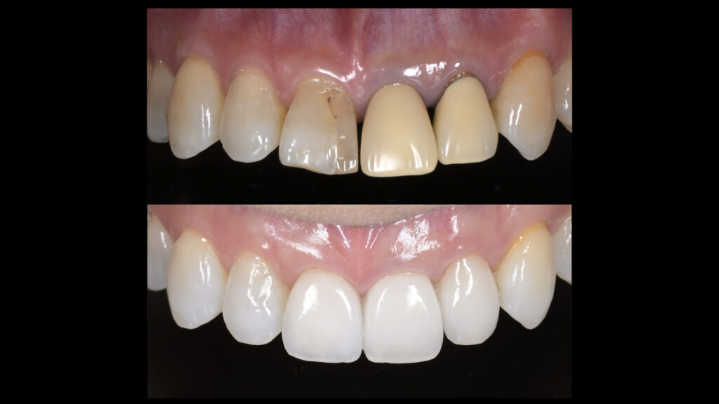
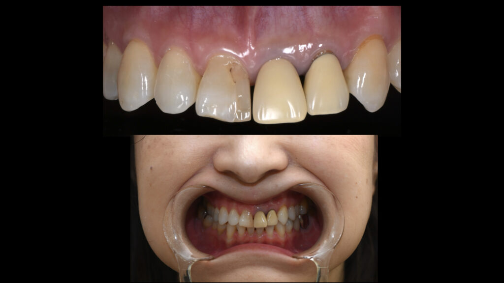
初診時


左上の前歯2本(写真では右側)は以前保険治療にて被せ物治療を行っており、右上の前歯(写真では左側)は保険治療の詰め物治療を行っています。
保険治療で被せ物を製作する際、歯の色を既製品の中の数種類から選ぶことになるため、特に前歯の治療の場合隣の歯と色が完全に一致することは基本的に困難です。
また保険治療の歯は銀歯の前側にプラスチックを貼り付けるため、銀歯の色が歯茎に反映されて歯茎が黒く見えたり、プラスチックの変色により、審美性が損なわれます。
それと比較し保険の効かないセラミック治療では、完全にオーダーメイドで製作するため、製作する技工士さんに実際に立ち会ってもらい、時間をかけて色の確認や形の希望などを患者さんご本人と相談していきます。
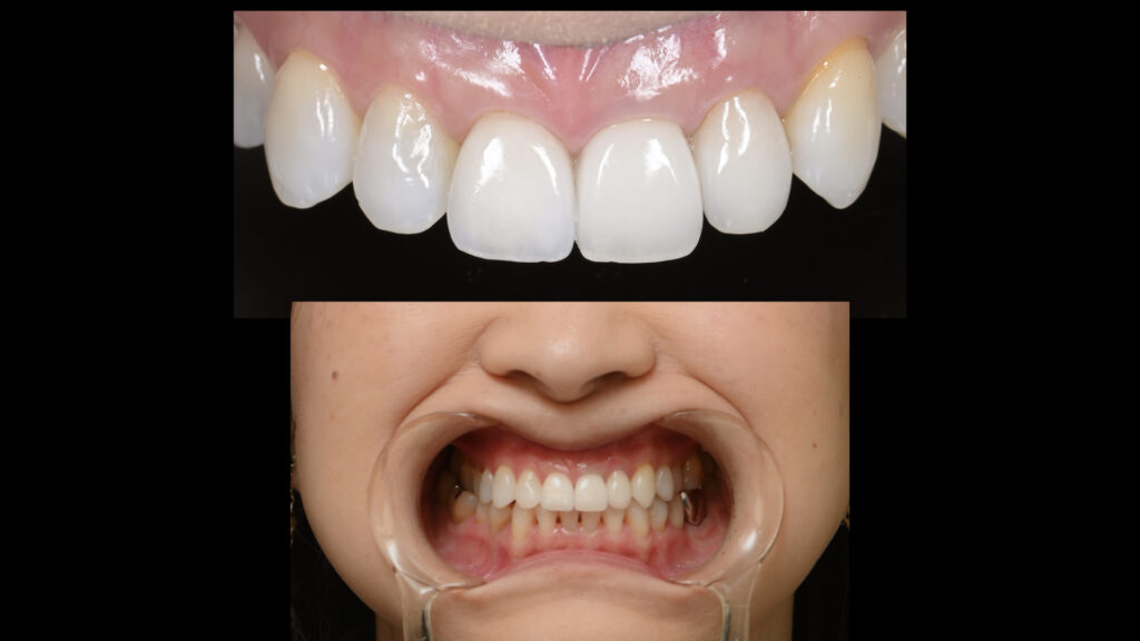
治療後


左上の2本に関してはセラミッククラウン(被せ物)、右上の1本に関してはセラミックのラミネートベニアにて治療を行っています。
セラミック装着前にはホワイトニングも行い、全体的に歯の色を明るくしています。
ラミネートベニアは元々被せ物が入っていない場合に適応で、前歯の見た目(色や形)を変更したい際に非常に有効な治療です。しかしながら高度な治療技術が必要なため、ラミネートベニアの適応にもかかわらずクラウン治療が施されることが多いのも実情です。(ラミネートベニアの方が歯を削る量が少ないため低侵襲で歯に優しい)
江別市大麻の佐久間歯科医院では、ラミネートベニアの症例も非常に多く手がけております。
江別市札幌市近郊で治療を検討されている方はぜひお気軽にご予約ください。
詳細情報
| 年齢・性別 | 40代・女性 |
| 治療内容 | ラミネートベニア セラミッククラウン(プレミアム) |
| 治療費用 | ・ラミネートベニア:118,000円(税込) ・セラミッククラウン:118,000円(税込)x2 |
| リスク・副作用 | 歯の切削量は最小限になりますが,被せ物と比較すると強度が劣るため、欠けたり外れる可能性があります。 |
監修者情報

副院長 佐久間 俊光
経歴
- 2015年 北海道医療大学歯学部卒業
- 2015-2016年 恵佑会札幌病院歯科口腔外科研修医
- 2016-2020年 北海道大学歯学部大学院冠橋義歯補綴学教室(歯学博士)
- 2020-2022年 三好プリベント歯科勤務
- 2022-2023年 テキサス大学ヒューストン校(アメリカ)歯周病インプラント科留学



