こちらの患者様は、「歯茎が大きく腫れてきた、噛むと痛い」との主訴にて医院に来院されました。
お口の中を確認したところその部位は腫れており、通常のレントゲン及びCTにて確認したところ歯の根が割れており、残念ながら抜歯の診断となりました。(歯の破折は、残念ながらほとんどの場合で抜歯になることが多いですが、割れる位置や方向によっては残せる可能性があり、その場合は当院では残す治療のご提案をします)
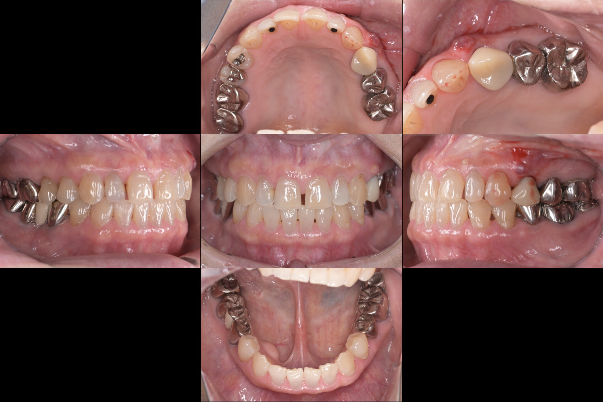
患者様には抜歯が必要なことを説明し理解いただき、抜歯後の治療をご説明したところインプラント治療をご希望されました。
初診時と治療終了後


初診時


以前より腫れが大きくなったり小さくなったりしていて様子を見ていたが、最近腫れが大きいまま消えないことから受診されました。
歯根の破折を疑い、歯周検査(歯茎の状態確認)やCT撮影を行ったところ割れていることが判明したため、残念ながら抜歯を行うことになりました。
抜歯後はブリッジ治療・入れ歯治療・インプラント治療と全ての治療のメリットデメリットを説明した上で、ご本人はインプラント治療を希望されました。
まずは抜歯を行う

歯の状態や骨の状態によっては抜歯と同時にインプラントを埋入することもありますが、この方の場合は歯根破折後期間が長かったため、歯の周囲の骨が大きくなくなっていました。
このような場合は一度抜歯(及び骨増生処置)を先に行い、3ヶ月ほど歯茎と骨が治癒するのを待ってからインプラント埋入治療を行います。
治癒期間は前歯の場合は見た目に影響が出ますので仮歯を装着し、奥歯の場合は仮歯や部分入れ歯、またはそのまま様子を見ることもあります。
治療終了


治療後のメインテナンス
インプラント治療は、終了後のメインテナンスが非常に重要になります。
治療終了後も当院に3ヶ月に一回欠かさず受診してくださっています。
そのおかげもあり現在何一つトラブルが起きておらず、とても満足頂いております。
詳細情報
| 年齢・性別 | 60代・女性 |
| 治療内容 | 奥歯のインプラント治療(+骨増生処置) |
| 治療費用 | ・奥歯インプラント:428,000円(税込) ・骨増生処置:70,000円(税込) |
| リスク・副作用 | 手術直後は一時的に腫れや痛みが出ることがありますが、通常は数日で落ち着きます。 |
インプラント治療は、失った歯を補い、自然な噛み心地を取り戻せる優れた治療法です。しかし、手術を伴うためリスクや注意点もあります。長く快適に使うためには、適切なメンテナンスと定期的な検診が欠かせません。当院では、患者様の口腔状態やライフスタイルに合わせた最適な治療計画をご提案しております。インプラントについて気になることがございましたら、お気軽にご相談ください。あなたに合った治療法を一緒に考えていきましょう。
監修者情報

副院長 佐久間 俊光
経歴
- 2015年 北海道医療大学歯学部卒業
- 2015-2016年 恵佑会札幌病院歯科口腔外科研修医
- 2016-2020年 北海道大学歯学部大学院冠橋義歯補綴学教室(歯学博士)
- 2020-2022年 三好プリベント歯科勤務
- 2022-2023年 テキサス大学ヒューストン校(アメリカ)歯周病インプラント科留学




